Zapalenie dziąseł to powszechny problem, który może prowadzić do poważniejszych konsekwencji, jeśli nie zostanie odpowiednio leczony. Chociaż antybiotyki bywają elementem terapii, nie są one rozwiązaniem pierwszego rzutu i stosuje się je tylko w ściśle określonych przypadkach, zawsze pod ścisłą kontrolą stomatologa. W tym artykule wyjaśnię, kiedy antybiotykoterapia jest faktycznie potrzebna, jakie są dostępne opcje leczenia i jak odróżnić je od preparatów łagodzących objawy, które można kupić bez recepty. Zrozumienie tych kwestii pomoże Ci podjąć świadome decyzje dotyczące zdrowia Twoich dziąseł.
Antybiotyki na zapalenie dziąseł kiedy są konieczne i co musisz o nich wiedzieć?
- Antybiotyki na zapalenie dziąseł stosuje się rzadko, wyłącznie w zaawansowanych, agresywnych lub powikłanych przypadkach.
- Decyzję o włączeniu antybiotykoterapii zawsze podejmuje stomatolog po dokładnym badaniu.
- Podstawą leczenia zapalenia dziąseł jest profesjonalna higienizacja (skaling i piaskowanie) oraz poprawa codziennej higieny jamy ustnej.
- Nie ma antybiotyków na zapalenie dziąseł dostępnych bez recepty wszystkie skuteczne substancje są wydawane wyłącznie z przepisu lekarza.
- Preparaty dostępne bez recepty (np. płukanki z chlorheksydyną, żele) mogą łagodzić objawy, ale nie leczą przyczyny zapalenia.
- Samodzielne stosowanie antybiotyków jest niebezpieczne, może prowadzić do antybiotykooporności i maskować poważniejsze problemy.
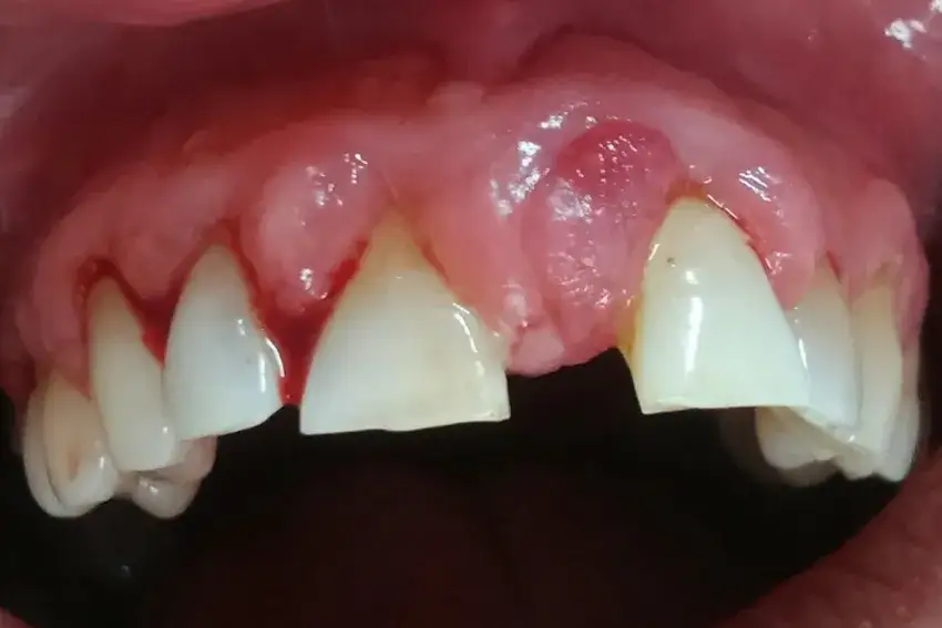
Zapalenie dziąseł, znane medycznie jako gingiwwitis, jest stanem zapalnym tkanki dziąsłowej. W zdecydowanej większości przypadków jego przyczyną jest nagromadzenie się płytki bakteryjnej na powierzchni zębów. Ta lepka warstwa bakterii, jeśli nie jest regularnie usuwana, podrażnia dziąsła, prowadząc do reakcji zapalnej. To właśnie dlatego tak kluczowe jest utrzymanie nienagannej higieny jamy ustnej.
- Krwawienie dziąseł, które może pojawiać się samoistnie lub podczas codziennego szczotkowania zębów i nitkowania.
- Widoczne zaczerwienienie i obrzęk dziąseł, które tracą swój naturalny, różowy kolor i stają się opuchnięte.
- Odczuwanie bólu lub tkliwości dziąseł, szczególnie w miejscach objętych stanem zapalnym.
- Nieprzyjemny zapach z ust (halitoza), który może być oznaką obecności bakterii i stanu zapalnego.
Codzienne, staranne szczotkowanie zębów dwa razy dziennie oraz regularne używanie nici dentystycznej to absolutna podstawa w profilaktyce i leczeniu zapalenia dziąseł. Jednak w niektórych sytuacjach, gdy stan zapalny jest już zaawansowany lub spowodowany specyficznymi czynnikami, te domowe metody mogą okazać się niewystarczające. W takich przypadkach niezbędna jest interwencja specjalisty, który oceni sytuację i zaproponuje odpowiednie leczenie, które może wykraczać poza standardową higienę.
Antybiotyki nie są standardowym elementem leczenia zapalenia dziąseł. Ich zastosowanie jest zarezerwowane dla przypadków, które wykraczają poza typowy stan zapalny wywołany płytką bakteryjną. Mówimy tu głównie o sytuacjach zaawansowanych, agresywnych lub powikłanych. Przykładem może być ostre martwiczo-wrzodziejące zapalenie dziąseł (ANUG), które charakteryzuje się martwicą brodawek międzyzębowych i silnym bólem, lub gdy istnieje realne ryzyko rozprzestrzenienia się infekcji na inne tkanki, a nawet rozwoju infekcji ogólnoustrojowej. Pamiętajmy, że ostateczną decyzję o włączeniu antybiotykoterapii zawsze podejmuje lekarz stomatolog po dokładnym zbadaniu pacjenta i ocenie jego stanu zdrowia.
Szczególnie ostre i agresywne stany zapalne dziąseł, które szybko postępują i powodują znaczący dyskomfort, mogą wymagać natychmiastowej interwencji stomatologicznej z użyciem antybiotyków. Dotyczy to sytuacji, gdy infekcja nie ogranicza się tylko do dziąseł, ale zaczyna wpływać na głębiej położone tkanki przyzębia lub gdy ogólny stan pacjenta wskazuje na potrzebę szybkiego zwalczenia rozprzestrzeniającej się infekcji bakteryjnej. W takich momentach antybiotykoterapia staje się kluczowym elementem leczenia, mającym na celu opanowanie stanu zapalnego i zapobieganie dalszym powikłaniom.
Samodzielne sięganie po antybiotyki w leczeniu zapalenia dziąseł jest nie tylko nieskuteczne, ale przede wszystkim niebezpieczne. Po pierwsze, antybiotyki działają tylko na bakterie i nie są w stanie usunąć przyczyny zapalenia, jaką jest zazwyczaj płytka bakteryjna czy kamień nazębny. Po drugie, niewłaściwe stosowanie antybiotyków, w tym przyjmowanie ich bez wskazań medycznych lub w nieodpowiednich dawkach, prowadzi do rozwoju antybiotykooporności. Oznacza to, że bakterie stają się odporne na działanie leków, co w przyszłości może utrudnić leczenie nawet zwykłych infekcji. Ponadto, antybiotyki mogą maskować objawy poważniejszych schorzeń, opóźniając ich właściwą diagnozę i leczenie.
Metronidazol to antybiotyk, który często znajduje zastosowanie w leczeniu infekcji bakteryjnych jamy ustnej i przyzębia. Jego siła działania skupia się na bakteriach beztlenowych, które są częstymi sprawcami chorób przyzębia, w tym zaawansowanego zapalenia dziąseł i paradontozy. Działanie metronidazolu pomaga zwalczać te specyficzne patogeny, przyczyniając się do redukcji stanu zapalnego i poprawy stanu dziąseł.
Amoksycylina, często przepisywana w połączeniu z kwasem klawulanowym, to antybiotyk o szerokim spektrum działania, który skutecznie zwalcza wiele rodzajów bakterii. Kwas klawulanowy zwiększa jej skuteczność, chroniąc amoksycylinę przed rozkładem przez niektóre enzymy bakteryjne. W przypadku alergii na penicyliny, jako alternatywę często stosuje się klindamycynę, która również jest efektywna w leczeniu infekcji bakteryjnych w obrębie jamy ustnej.
Doksycyklina to antybiotyk z grupy tetracyklin, który wyróżnia się nie tylko silnym działaniem przeciwbakteryjnym. Wykazuje również właściwości przeciwzapalne, co jest niezwykle cenne w terapii chorób przyzębia. Dodatkowo, doksycyklina hamuje aktywność enzymów zwanych kolagenazami, które są odpowiedzialne za rozkład kolagenu kluczowego białka tkanki łącznej. Dzięki temu doksycyklina może pomóc w stabilizacji tkanki przyzębia i spowolnieniu postępu choroby.
Warto podkreślić, że w Polsce nie ma antybiotyków na zapalenie dziąseł dostępnych bez recepty. Wszystkie leki o udowodnionym działaniu antybiotykowym wymagają recepty od lekarza. Jednakże, dostępne bez recepty są preparaty, które mogą przynieść ulgę w objawach. Płukanki z chlorheksydyną to jedne z najskuteczniejszych środków antyseptycznych. Mają silne działanie przeciwbakteryjne i pomagają kontrolować ilość bakterii w jamie ustnej. Należy jednak pamiętać, że ich długotrwałe stosowanie bez konsultacji z lekarzem może prowadzić do nieestetycznych przebarwień na zębach i języku.
Na rynku dostępne są również żele i maści stomatologiczne, które można kupić bez recepty. Zazwyczaj zawierają one substancje o działaniu łagodzącym, przeciwzapalnym, a czasem nawet lekko znieczulającym. Często bazują na naturalnych składnikach, takich jak wyciągi z szałwii czy rumianku, które znane są ze swoich właściwości kojących. Preparaty te mogą przynieść natychmiastową ulgę w bólu i zmniejszyć uczucie dyskomfortu związanego ze stanem zapalnym dziąseł.
Ziołowe wsparcie, takie jak płukanki z szałwii czy rumianku, może stanowić cenne uzupełnienie codziennej higieny jamy ustnej. Szałwia od wieków ceniona jest za swoje właściwości przeciwzapalne i antyseptyczne, a rumianek działa łagodząco i regenerująco. Stosowanie naparów z tych ziół do płukania jamy ustnej może pomóc złagodzić objawy zapalenia dziąseł, takie jak zaczerwienienie czy obrzęk. Należy jednak pamiętać, że są to metody wspomagające i nie zastąpią profesjonalnego leczenia przyczyny problemu.
Skaling i piaskowanie to absolutny fundament leczenia zapalenia dziąseł. Bez tych profesjonalnych zabiegów higienizacyjnych, nawet najlepsze antybiotyki czy preparaty dostępne bez recepty nie przyniosą trwałej poprawy. Skaling polega na mechanicznym usunięciu twardych złogów nazębnych, czyli kamienia, który gromadzi się na zębach, szczególnie w miejscach trudno dostępnych dla szczoteczki. Piaskowanie natomiast usuwa miękką płytkę bakteryjną oraz osady z powierzchni zębów. Dopiero po usunięciu tych głównych przyczyn stanu zapalnego, dziąsła mogą zacząć się goić, a dalsze leczenie staje się skuteczne.
Typowa wizyta u stomatologa w celu leczenia zapalenia dziąseł rozpoczyna się od dokładnego wywiadu i badania jamy ustnej. Stomatolog oceni stan dziąseł, sprawdzi obecność płytki bakteryjnej i kamienia nazębnego, a także zapyta o Twoje nawyki higieniczne i ogólny stan zdrowia. Na podstawie tych informacji lekarz postawi diagnozę i zaproponuje indywidualny plan leczenia. Może on obejmować profesjonalną higienizację (skaling i piaskowanie), instruktaż prawidłowej higieny jamy ustnej, a w uzasadnionych przypadkach przepisanie leków, w tym antybiotyków.
Nieleczone zapalenie dziąseł to prosta droga do poważniejszych problemów. Jeśli stan zapalny nie zostanie opanowany, może przejść w zapalenie przyzębia, czyli paradontozę. Paradontoza to choroba, która atakuje tkanki otaczające ząb, prowadząc do ich stopniowego niszczenia. Skutkuje to rozchwianiem zębów, krwawieniem dziąseł, a w skrajnych przypadkach nawet ich utratą. Dlatego tak ważne jest, aby nie lekceważyć pierwszych objawów zapalenia dziąseł i jak najszybciej zgłosić się do specjalisty.
Prawidłowa technika szczotkowania zębów jest kluczowa w codziennej profilaktyce zapalenia dziąseł. Pamiętaj, aby szczotkować zęby delikatnymi, okrężnymi ruchami, obejmując zarówno powierzchnię zębów, jak i linię dziąseł. Ważne jest również, aby nie zapominać o czyszczeniu przestrzeni międzyzębowych za pomocą nici dentystycznej lub szczoteczek międzyzębowych. Dobór odpowiedniej pasty do zębów, najlepiej z fluorem i o łagodnym działaniu, również ma znaczenie. Pasta powinna być dostosowana do Twoich indywidualnych potrzeb, dlatego warto skonsultować jej wybór z dentystą lub higienistką stomatologiczną.
Regularne wizyty kontrolne u stomatologai higienistki stomatologicznej to najlepsza inwestycja w zdrowie Twoich dziąseł i całego uzębienia. Nawet jeśli dbasz o higienę jamy ustnej na co dzień, profesjonalne czyszczenie i kontrola co najmniej raz na pół roku pozwalają na wczesne wykrycie ewentualnych problemów. Higienistka stomatologiczna może przeprowadzić profesjonalną higienizację, usunąć kamień nazębny i udzielić cennych wskazówek dotyczących pielęgnacji jamy ustnej, dopasowanych do Twoich potrzeb.
Dieta odgrywa niebagatelną rolę w utrzymaniu zdrowia dziąseł. Spożywanie dużej ilości warzyw i owoców dostarcza witamin i minerałów niezbędnych dla zdrowia tkanek jamy ustnej, w tym witaminy C, która wzmacnia dziąsła. Z kolei ograniczenie spożycia cukrów prostych i przetworzonej żywności zmniejsza ryzyko rozwoju próchnicy i stanów zapalnych. Odpowiednie nawodnienie organizmu, czyli picie dużej ilości wody, pomaga również w naturalnym oczyszczaniu jamy ustnej z resztek pokarmowych i bakterii.
