Alergia na nikiel w jamie ustnej to problem, który może znacząco wpłynąć na komfort życia, powodując szereg nieprzyjemnych dolegliwości. Zrozumienie jej objawów, identyfikacja potencjalnych źródeł oraz poznanie skutecznych metod leczenia jest kluczowe dla osób borykających się z tym uczuleniem. W tym artykule przybliżę Państwu, jak rozpoznać te symptomy, skąd bierze się nikiel w naszych ustach i jakie kroki podjąć, aby odzyskać zdrowie i komfort.
- Najczęstsze objawy to pieczenie, zaczerwienienie dziąseł, metaliczny posmak w ustach, zapalenie błony śluzowej, zajady i liszaje.
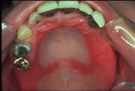
- Główne źródła niklu w jamie ustnej to aparaty ortodontyczne, protezy zębowe, korony, mosty, ale także niektóre sztućce i produkty spożywcze (czekolada, orzechy, nasiona).
- Kluczową metodą diagnostyki są naskórkowe testy płatkowe (patch tests).
- Podstawowe strategie leczenia to eliminacja źródła alergenu, stosowanie materiałów stomatologicznych bez niklu oraz, w niektórych przypadkach, dieta niskoniklowa.
- Alergia na nikiel jest powszechna (szczególnie u kobiet) i charakteryzuje się opóźnioną reakcją, pojawiającą się zwykle po 24-72 godzinach od kontaktu z alergenem.
Czym jest alergia na nikiel i dlaczego dotyczy również jamy ustnej?
Alergia na nikiel to jedna z najczęściej występujących alergii kontaktowych. Jest to reakcja immunologiczna typu IV, czyli opóźniona, co oznacza, że pierwsze objawy pojawiają się zazwyczaj po 24 do 72 godzin od kontaktu z alergenem. Niestety, jest to uczulenie trwałe raz nabyte, utrzymuje się przez całe życie. Nikiel, ze względu na swoje powszechne zastosowanie w wielu przedmiotach codziennego użytku, a także w materiałach stomatologicznych, może łatwo dostać się do jamy ustnej. Kontakt z metalowymi elementami aparatów ortodontycznych, protez, koron czy mostów protetycznych jest częstą przyczyną rozwoju lub zaostrzenia objawów alergii w obrębie błony śluzowej jamy ustnej.
Statystyki w Polsce: Jak powszechny jest ten problem?
Problem alergii na nikiel dotyka znaczną część populacji w Polsce. Szacuje się, że na tę formę uczulenia cierpi około 17% kobiet i około 3% mężczyzn. Jest to istotna liczba, biorąc pod uwagę wszechobecność niklu w naszym otoczeniu i jego potencjalne zastosowania w medycynie, w tym w stomatologii.
Opóźniona reakcja klucz do zrozumienia mechanizmu alergii
Kluczowym aspektem alergii na nikiel jest jej opóźniony charakter. W przeciwieństwie do reakcji natychmiastowych, takich jak te wywoływane przez jad owadów, objawy uczulenia na nikiel pojawiają się z pewnym opóźnieniem. Zazwyczaj jest to okres od 24 do 72 godzin po ekspozycji na alergen. To właśnie ta zwłoka często utrudnia szybkie zidentyfikowanie przyczyny problemu, ponieważ pacjent może nie skojarzyć bezpośrednio kontaktu z niklem z pojawiającymi się dolegliwościami.
Główne sygnały alarmowe: rozpoznaj objawy uczulenia na nikiel w ustach

Uczucie pieczenia i mrowienia: Syndrom "płonących ust"
Jednym z najbardziej charakterystycznych i uciążliwych objawów alergii na nikiel w jamie ustnej jest uporczywe uczucie pieczenia i mrowienia, szczególnie odczuwane na języku i wargach. Ten stan, znany jako syndrom piekących ust (BPS), może znacząco obniżyć jakość życia, utrudniając jedzenie, mówienie, a nawet sen.
Zmiany na dziąsłach i błonie śluzowej: Zaczerwienienie, obrzęk i zapalenie
Alergia na nikiel może manifestować się również poprzez widoczne zmiany w obrębie jamy ustnej. Często obserwuje się zapalenie błony śluzowej jamy ustnej (stomatitis), które objawia się jako zaczerwienienie, pieczenie i nadwrażliwość. Dziąsła mogą stać się obrzęknięte i zaczerwienione, co jest oznaką zapalenia dziąseł (gingivitis). Te symptomy wskazują na miejscową reakcję alergiczną wywołaną kontaktem z niklem.
Metaliczny posmak w ustach: Czy to wina alergii?
Niektórzy pacjenci z alergią na nikiel zgłaszają obecność nieprzyjemnego, metalicznego posmaku w ustach. Choć może on mieć różne przyczyny, w kontekście innych objawów alergicznych, takich jak pieczenie czy zapalenie błony śluzowej, warto rozważyć go jako potencjalny sygnał uczulenia na nikiel, zwłaszcza jeśli pojawił się po kontakcie z nowym materiałem stomatologicznym.
Inne niepokojące symptomy: Zajady, afty i nietypowe zmiany
- Zajady: Często pojawiające się pęknięcia i stany zapalne w kącikach ust, znane jako zapalenie kątów ust.
- Liszaj płaski: W obrębie jamy ustnej może objawiać się jako białe, prążkowane zmiany na błonie śluzowej, które bywają bolesne.
- Afty i nadżerki: Choć mniej typowe, w cięższych przypadkach alergii mogą pojawić się bolesne owrzodzenia w jamie ustnej.
- Zmiany skórne: Nierzadko objawom w jamie ustnej towarzyszą zmiany skórne w innych częściach ciała, najczęściej w postaci wyprysku kontaktowego na dłoniach, który może być wynikiem ogólnoustrojowej reakcji na nikiel.
Skąd nikiel bierze się w Twoich ustach? Identyfikacja źródeł
Aparat ortodontyczny i proteza zębowa: Najczęstsi winowajcy
W mojej praktyce zawodowej często spotykam się z przypadkami, gdzie głównym źródłem problemu są stałe aparaty ortodontyczne lub protezy zębowe. Zamki i łuki ortodontyczne, a także elementy protez szkieletowych, często wykonane są ze stopów chromowo-niklowych. Choć są one stosunkowo niedrogie i wytrzymałe, dla osób uczulonych na nikiel stanowią bezpośrednie zagrożenie, prowadząc do rozwoju lub zaostrzenia objawów alergicznych w jamie ustnej.
Korony, mosty i implanty: Na jakie materiały uważać u stomatologa?
Podczas leczenia protetycznego również należy zachować czujność. Korony i mosty metalowo-porcelanowe, gdzie metalowy stelaż może zawierać nikiel, są potencjalnym źródłem problemu. Na szczęście, współczesna stomatologia oferuje coraz więcej bezpiecznych alternatyw. Stopy bezniklowe, takie jak stopy chromowo-kobaltowe, a także nowoczesne rozwiązania pełnoceramiczne, są doskonałym wyborem dla pacjentów z alergią na nikiel, zapewniając estetykę i bezpieczeństwo.
Twoja codzienna dieta pod lupą: Które produkty spożywcze zawierają najwięcej niklu?
Dieta odgrywa znaczącą rolę w kontekście alergii na nikiel, szczególnie u osób z nasilonymi objawami lub zdiagnozowanym Systemic Nickel Allergy Syndrome (SNAS). Należy unikać lub ograniczyć spożycie produktów o wysokiej zawartości tego metalu. Do takich produktów należą:
- Czekolada i kakao
- Orzechy (laskowe, ziemne, włoskie)
- Nasiona (słonecznik, sezam)
- Rośliny strączkowe (soja, fasola, groch)
- Pełnoziarniste produkty zbożowe
- Niektóre warzywa (szpinak, sałata)
- Owoce (awokado, banany)
- Konserwy w puszkach
Wprowadzenie diety niskoniklowej powinno odbywać się pod ścisłą kontrolą lekarza lub dietetyka, aby zapewnić odpowiednią podaż wszystkich niezbędnych składników odżywczych.
Ukryte zagrożenia: Sztućce, naczynia i inne przedmioty codziennego użytku
Nawet pozornie niewinne przedmioty codziennego użytku mogą stanowić źródło niklu. Długotrwały kontakt z niektórymi rodzajami sztućców ze stali nierdzewnej, zwłaszcza tych niższej jakości, może prowadzić do uwalniania jonów niklu. Chociaż reakcja ta jest zazwyczaj łagodniejsza niż w przypadku materiałów stomatologicznych, u osób silnie uczulonych może przyczyniać się do nasilenia objawów w jamie ustnej.
Jak potwierdzić alergię na nikiel? Profesjonalna diagnostyka
Naskórkowe testy płatkowe: Złoty standard w wykrywaniu uczulenia
Jeśli podejrzewasz u siebie alergię na nikiel, kluczowe jest wykonanie profesjonalnych badań diagnostycznych. Naskórkowe testy płatkowe, znane również jako patch tests, są uznawane za złoty standard w wykrywaniu alergii kontaktowej. Badanie to jest przeprowadzane przez alergologa lub dermatologa i polega na przyklejeniu na skórę pleców specjalnych plastrów z różnymi alergenami, w tym z niklem. Po 48 i 72 godzinach ocenia się reakcję skórną w miejscu aplikacji.
Rola wywiadu lekarskiego: O co zapyta Cię alergolog lub stomatolog?
Proces diagnostyki alergii na nikiel nie ogranicza się jedynie do testów. Bardzo ważny jest szczegółowy wywiad lekarski. Lekarz zapyta Cię o rodzaj i czas występowania objawów, Twoje nawyki żywieniowe, a także o wszelkie kontakty z potencjalnymi źródłami niklu, w tym o stosowane materiały stomatologiczne. Dokładne zebranie tych informacji pomaga w postawieniu trafnej diagnozy i zaplanowaniu skutecznego leczenia.
Różnicowanie objawów: Jak odróżnić alergię od innych schorzeń jamy ustnej?
Objawy alergii na nikiel, takie jak pieczenie, zapalenie błony śluzowej czy metaliczny posmak, mogą być mylone z innymi schorzeniami jamy ustnej, na przykład z infekcjami grzybiczymi, bakteryjnymi, niedoborami witamin czy innymi alergiami. Dlatego tak istotne jest, aby nie bagatelizować tych symptomów i skonsultować się ze specjalistą. Tylko profesjonalna diagnostyka pozwoli na prawidłowe rozpoznanie i odróżnienie alergii od innych potencjalnych przyczyn problemów w jamie ustnej.
Skuteczne strategie leczenia po diagnozie
Eliminacja źródła alergenu: Kluczowy krok do odzyskania komfortu
Podstawą leczenia alergii na nikiel w jamie ustnej jest bezwzględna eliminacja źródła alergenu. Jeśli przyczyną problemu są uzupełnienia protetyczne, aparat ortodontyczny lub inne elementy stomatologiczne zawierające nikiel, konieczna jest ich wymiana na materiały biokompatybilne i wolne od tego metalu. Jest to często pierwszy i najważniejszy krok do złagodzenia objawów i odzyskania komfortu.
Leczenie stomatologiczne bez niklu: Jakie są bezpieczne alternatywy?
Na szczęście, współczesna stomatologia dysponuje szeroką gamą bezpiecznych materiałów dla osób z alergią na nikiel. W mojej praktyce zawsze staram się proponować rozwiązania, które minimalizują ryzyko reakcji alergicznych. Do najczęściej stosowanych i bezpiecznych alternatyw należą:
Aparaty ortodontyczne dla alergików
Dla pacjentów z alergią na nikiel dostępne są specjalne aparaty ortodontyczne. Mogą być one wykonane z materiałów takich jak tytan, cyrkon lub specjalne stopy bezniklowe. Warto omówić z ortodontą dostępne opcje i wybrać rozwiązanie, które będzie w pełni bezpieczne.
Protezy i korony z materiałów biokompatybilnych (tytan, cyrkon)
W protetyce stomatologicznej coraz powszechniej stosuje się materiały biokompatybilne, które nie wywołują reakcji alergicznych. Tytan jest doskonałym wyborem ze względu na swoją obojętność biologiczną i wytrzymałość. Podobnie cyrkon, który jest materiałem ceramicznym, oferuje nie tylko bezpieczeństwo, ale także doskonałe właściwości estetyczne. Również tradycyjne stopy złota, choć droższe, są zazwyczaj dobrze tolerowane przez alergików.
Dieta niskoniklowa: Kiedy jest konieczna i na czym polega?
Dieta z ograniczeniem produktów o wysokiej zawartości niklu jest zalecana przede wszystkim u pacjentów z nasilonymi objawami, zwłaszcza gdy występują symptomy ogólnoustrojowe (SNAS). Polega ona na wyeliminowaniu lub znacznym ograniczeniu spożycia pokarmów bogatych w nikiel, o których wspominałem wcześniej. Ważne jest, aby taka dieta była prowadzona pod nadzorem lekarza lub dietetyka, który pomoże zbilansować jadłospis i zapobiegnie niedoborom żywieniowym.
Farmakologiczne wsparcie: Jak złagodzić uciążliwe objawy?
W celu złagodzenia uciążliwych objawów alergii na nikiel, lekarz może zalecić odpowiednie leczenie farmakologiczne. Miejscowo stosowane preparaty, takie jak żele czy płukanki o działaniu przeciwzapalnym i łagodzącym, mogą przynieść ulgę w stanach zapalnych błony śluzowej. W przypadkach nasilonych reakcji, lekarz może rozważyć przepisanie leków przeciwhistaminowych lub, w uzasadnionych sytuacjach, krótkotrwałe stosowanie kortykosteroidów.
Zapobieganie to podstawa: jak unikać problemów z niklem
Świadomy wybór u stomatologa: Zawsze informuj o swojej alergii
Najlepszą metodą zapobiegania problemom związanym z alergią na nikiel jest świadomość i komunikacja. Zawsze, przed rozpoczęciem jakiegokolwiek leczenia stomatologicznego, poinformuj swojego dentystę o zdiagnozowanej alergii na nikiel. Pozwoli mu to na świadomy dobór materiałów i uniknięcie potencjalnie szkodliwych stopów metali.
Czytanie etykiet i składów: Jak unikać niklu w produktach codziennego użytku?
Poza stomatologią, warto zwracać uwagę na skład produktów codziennego użytku. Biżuteria, zwłaszcza ta wykonana z metali nieszlachetnych, kosmetyki, a nawet niektóre opakowania żywności mogą zawierać nikiel. Chociaż bezpośredni kontakt z tymi przedmiotami rzadziej prowadzi do tak silnych reakcji jak w jamie ustnej, świadomość ich obecności pozwala na minimalizowanie ogólnej ekspozycji na alergen.
