Ropień dziąsła, znany również jako ropień przyzębny, to stan zapalny, który może pojawić się nagle i być niezwykle bolesny. Jest to nic innego jak ograniczony zbiornik ropy, który tworzy się w tkankach otaczających ząb, będący wynikiem infekcji bakteryjnej. Często jego pojawienie się jest związane z zaniedbaniami higienicznymi, zaawansowaną próchnicą, która sięga aż do miazgi zęba, głębokimi kieszonkami dziąsłowymi towarzyszącymi paradontozie, a czasem nawet z urazem mechanicznym. W Polsce jest to problem, z którym pacjenci zgłaszają się do gabinetów stomatologicznych nierzadko, a jego obecność zawsze sygnalizuje potrzebę szybkiej interwencji. Ignorowanie tego stanu może prowadzić do bardzo poważnych konsekwencji, dlatego tak ważne jest, aby wiedzieć, jak rozpoznać ropień i co robić w takiej sytuacji.
Czym jest ropień dziąsła i dlaczego jego ignorowanie jest niebezpieczne
Ropień dziąsła to nic innego jak ograniczony zbiornik ropy, który tworzy się w tkankach otaczających ząb, będący wynikiem infekcji bakteryjnej. Często jego pojawienie się jest związane z zaniedbaniami higienicznymi, zaawansowaną próchnicą, która sięga aż do miazgi zęba, głębokimi kieszonkami dziąsłowymi towarzyszącymi paradontozie, a czasem nawet z urazem mechanicznym. W Polsce jest to problem, z którym pacjenci zgłaszają się do gabinetów stomatologicznych nierzadko, a jego obecność zawsze sygnalizuje potrzebę szybkiej interwencji. Ignorowanie tego stanu może prowadzić do bardzo poważnych konsekwencji, dlatego tak ważne jest, aby wiedzieć, jak rozpoznać ropień i co robić w takiej sytuacji.
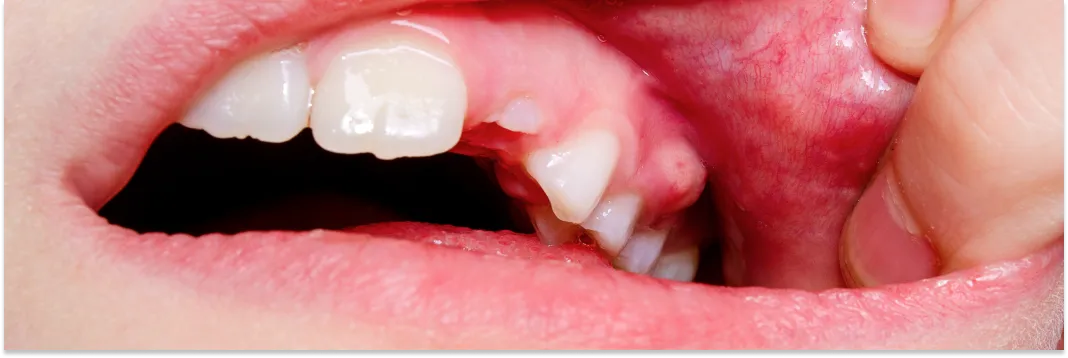
Objawy ropnia dziąsła potrafią być bardzo uciążliwe i zwykle nie pozwalają na zignorowanie problemu. Najczęściej pacjenci zgłaszają:
- Silny, pulsujący ból dziąsła i zęba, który może promieniować do innych części głowy.
- Widoczne, zaczerwienione i tkliwe uwypuklenie na dziąśle, które może przypominać mały pryszcz.
- Obrzęk policzka po tej samej stronie, po której znajduje się ropień.
- Wrażliwość zęba na dotyk, a nawet na nacisk podczas nagryzania.
- Czasami można zaobserwować wyciek ropy może on pojawić się samoistnie lub po delikatnym naciśnięciu na zmienione miejsce.
- W bardziej zaawansowanych przypadkach mogą wystąpić również gorączka, powiększenie węzłów chłonnych oraz ogólne złe samopoczucie.
To właśnie te intensywne objawy odróżniają ropień od zwykłego zapalenia dziąseł. Jeśli doświadczasz podobnych symptomów, nie zwlekaj z kontaktem ze swoim dentystą.
Zanim jednak dotrzesz do gabinetu stomatologicznego, ważne jest, abyś wiedział, czego absolutnie nie powinieneś robić. Samodzielne próby przekłucia ropnia, choć kuszące ze względu na chęć natychmiastowej ulgi, są skrajnie niebezpieczne. Brak sterylności narzędzi może wprowadzić jeszcze więcej bakterii do zainfekowanego obszaru, co grozi rozprzestrzenieniem się infekcji. Ponadto, takie działanie rzadko kiedy prowadzi do całkowitego drenażu ropy i nie usuwa pierwotnej przyczyny problemu, przez co możemy pogorszyć swój stan i znacząco opóźnić właściwe leczenie.
Pierwsza pomoc w domu jak złagodzić ból przed wizytą u dentysty
Pamiętaj, że poniższe metody mają na celu jedynie tymczasowe złagodzenie objawów i nie zastąpią profesjonalnego leczenia stomatologicznego. Jeśli odczuwasz silny ból związany z ropniem dziąsła, możesz spróbować zastosować kilka sprawdzonych sposobów, aby poczuć się lepiej, zanim dotrzesz do swojego dentysty.
- Płukanki z naturalnych składników: Przygotuj ciepły roztwór możesz użyć naparu z szałwii lub rumianku, które mają właściwości antyseptyczne i przeciwzapalne. Alternatywnie, świetnie sprawdzi się roztwór soli pół łyżeczki soli rozpuszczonej w szklance ciepłej wody. Płucz jamę ustną kilka razy dziennie, delikatnie, aby nie podrażnić chorego miejsca.
- Chłodne okłady: Zastosowanie zimnego okładu na policzek po stronie, gdzie znajduje się ropień, może pomóc zmniejszyć obrzęk i złagodzić ból. Użyj lodu zawiniętego w ręcznik lub specjalnego żelowego kompresu i przykładaj go na kilkanaście minut co jakiś czas.
- Leki przeciwbólowe: W aptece bez recepty dostępne są środki łagodzące ból, takie jak paracetamol czy ibuprofen. Mogą one przynieść ulgę w cierpieniu, ale pamiętaj, aby stosować je zgodnie z zaleceniami na ulotce i nie traktować jako lekarstwa na przyczynę problemu.
- Dieta: Staraj się unikać spożywania bardzo gorących lub bardzo zimnych potraw i napojów, a także twardych pokarmów, które mogą dodatkowo podrażniać bolące miejsce.
Profesjonalne leczenie ropnia dziąsła w gabinecie stomatologicznym
Kiedy już znajdziesz się w gabinecie stomatologicznym, Twój dentysta podejmie odpowiednie kroki, aby skutecznie wyleczyć ropień. Proces ten jest zazwyczaj szybki i przynosi znaczną ulgę, ale wymaga profesjonalnego podejścia.
- Diagnoza: Na początku lekarz dokładnie obejrzy Twoją jamę ustną, zbada palpacyjnie zmienione miejsce i zlokalizuje ropień. Czasami, aby potwierdzić diagnozę lub ocenić rozległość stanu zapalnego, może być konieczne wykonanie zdjęcia rentgenowskiego (RTG).
- Nacięcie i drenaż ropnia: To kluczowy etap leczenia, który przynosi natychmiastową ulgę. Zabieg odbywa się w znieczuleniu miejscowym, dzięki czemu jest praktycznie bezbolesny. Stomatolog delikatnie nacina ropień, umożliwiając swobodny odpływ nagromadzonej ropy. Pozwala to na znaczące zmniejszenie ciśnienia i bólu.
- Leczenie przyczynowe: Samo usunięcie ropy to jednak za mało. Konieczne jest zidentyfikowanie i wyleczenie źródła infekcji, które doprowadziło do powstania ropnia. Bez tego problem może nawracać.
- Antybiotykoterapia: W niektórych przypadkach, gdy infekcja jest rozległa, towarzyszy jej gorączka lub obrzęk tkanek miękkich twarzy, lekarz może zdecydować o przepisaniu antybiotyków. Mają one za zadanie zwalczyć bakterie i zapobiec dalszemu rozprzestrzenianiu się zakażenia.
Leczenie przyczynowe po usunięciu ropnia co dalej
Usunięcie ropnia i drenaż to tylko pierwszy krok. Aby zapobiec nawrotom i całkowicie wyleczyć stan zapalny, konieczne jest leczenie przyczynowe, które zależy od pierwotnego źródła problemu. Oto najczęstsze scenariusze:
- Ropień przy zębie z próchnicą: Jeśli przyczyną ropnia była głęboka próchnica, która dotarła do miazgi zęba, konieczne może być leczenie kanałowe (endodontyczne). Polega ono na usunięciu zainfekowanej tkanki z wnętrza zęba, dezynfekcji i szczelnym wypełnieniu kanałów korzeniowych.
- Problem z paradontozą: W przypadku ropni przyzębnych, które rozwijają się w głębokich kieszonkach dziąsłowych, leczenie skupia się na walce z chorobą przyzębia. Obejmuje ono profesjonalne oczyszczenie zębów z kamienia i osadu (skaling) oraz głębokie oczyszczenie korzeni zębów (root planing). Celem jest usunięcie bakterii i stworzenie warunków do regeneracji tkanek.
- Ostateczność: Niestety, zdarzają się sytuacje, gdy ząb jest tak poważnie uszkodzony lub zainfekowany, że nie da się go uratować. W takich przypadkach jedynym rozwiązaniem jest ekstrakcja, czyli usunięcie zęba. Jest to zazwyczaj ostateczność, stosowana, gdy inne metody leczenia zawiodły.
Poważne zagrożenia ignorowania ropnia dziąsła
Zignorowanie ropnia dziąsła lub zwlekanie z wizytą u dentysty może mieć bardzo poważne, a nawet zagrażające życiu konsekwencje. Infekcja bakteryjna, która rozpoczęła się w jamie ustnej, ma tendencję do rozprzestrzeniania się, jeśli nie zostanie odpowiednio zwalczona.
Poważne powikłania lokalne obejmują:
- Utratę zęba: Zniszczenie tkanek otaczających ząb może doprowadzić do jego rozchwiania i ostatecznie do wypadnięcia.
- Rozprzestrzenienie się infekcji na kość: Stan zapalny może przenieść się na kość szczęki lub żuchwy, prowadząc do zapalenia kości, które jest trudne w leczeniu.
- Powstanie torbieli: W wyniku przewlekłego stanu zapalnego mogą tworzyć się torbiele, które niszczą tkankę kostną i mogą wymagać interwencji chirurgicznej.
Ryzyko dla całego organizmu jest równie groźne:
- Rozprzestrzenienie się infekcji: Bakterie z ropnia mogą przedostać się do krwiobiegu i wywołać ogólnoustrojową reakcję zapalną.
- Angina Ludwiga: Jest to ostre zapalenie tkanek miękkich dna jamy ustnej, które może prowadzić do obrzęku języka i gardła, utrudniając oddychanie.
- Sepsa: W skrajnych przypadkach nieleczona infekcja może doprowadzić do sepsy, czyli uogólnionego zakażenia organizmu, które jest stanem zagrożenia życia i wymaga natychmiastowej hospitalizacji.
Kiedy natychmiast jechać na SOR:
- Szybko postępujący obrzęk twarzy lub szyi: Szczególnie jeśli utrudnia oddychanie lub połykanie.
- Trudności w oddychaniu lub połykaniu: Mogą świadczyć o rozprzestrzenianiu się infekcji w drogach oddechowych.
- Wysoka gorączka z dreszczami: Jest to sygnał, że organizm walczy z poważną infekcją.
- Silne osłabienie, zawroty głowy, dezorientacja: Mogą być objawami sepsy.

Skuteczna profilaktyka jak zapobiegać ropniom dziąsła
Najlepszym sposobem na uniknięcie bólu i problemów związanych z ropniem dziąsła jest jego skuteczna profilaktyka. Dbanie o higienę jamy ustnej i regularne wizyty u stomatologa to klucz do zdrowych zębów i dziąseł.
- Kluczowa rola codziennej higieny: Pamiętaj o dokładnym szczotkowaniu zębów co najmniej dwa razy dziennie, używając pasty z fluorem. Nie zapominaj o czyszczeniu języka, na którym gromadzą się bakterie. Niezwykle ważne jest również codzienne stosowanie nici dentystycznej lub szczoteczek międzyzębowych, aby usunąć resztki pokarmu i płytkę nazębną z przestrzeni między zębami, do których szczoteczka nie dociera.
- Regularne wizyty u stomatologa: Nie czekaj, aż pojawi się ból. Odwiedzaj swojego dentystę na profilaktyczne kontrole co najmniej raz na pół roku. Podczas wizyty lekarz może wcześnie wykryć i wyleczyć próchnicę lub początki chorób przyzębia, zanim przerodzą się w poważniejsze problemy. Warto również poddawać się profesjonalnemu czyszczeniu zębów (skaling i piaskowanie), które usuwa kamień nazębny, trudny do usunięcia domowymi metodami. Pamiętaj, że profilaktyka jest zawsze znacznie tańsza, mniej bolesna i zdrowsza niż leczenie zaawansowanych schorzeń jamy ustnej.
