Rana na dziąśle potrafi być niezwykle uciążliwa, utrudniając codzienne czynności takie jak jedzenie czy mówienie. Ten artykuł pomoże Ci zidentyfikować najczęstsze przyczyny bólu i dyskomfortu związanego z uszkodzeniami dziąseł, a także przedstawi sprawdzone metody łagodzenia objawów i przyspieszania gojenia, zarówno te dostępne w domowej apteczce, jak i te, po które możesz sięgnąć w aptece.
Rana na dziąśle: jak szybko i skutecznie złagodzić ból i wspomóc gojenie?
- Najczęstsze rany na dziąsłach to urazy mechaniczne, afty, stany zapalne oraz te powstałe po zabiegach stomatologicznych.
- W domu ulgę przyniosą płukanki ziołowe (szałwia, rumianek), roztwór soli, zimne okłady i odpowiednia dieta.
- W aptece bez recepty dostępne są żele stomatologiczne z substancjami przeciwbólowymi i odkażającymi oraz antyseptyczne płyny do płukania.
- Natychmiastowa wizyta u dentysty jest konieczna, gdy rana nie goi się dłużej niż tydzień, towarzyszy jej silny ból, gorączka, ropa lub nieustające krwawienie.
- Prawidłowa higiena jamy ustnej, regularne wizyty u stomatologa i zdrowa dieta to klucz do zapobiegania ranom na dziąsłach.
Najczęstsze przyczyny ran na dziąsłach: jak je rozpoznać?
Zrozumienie, co spowodowało ranę na dziąśle, jest pierwszym krokiem do jej skutecznego wyleczenia. W Polsce najczęściej spotykamy się z kilkoma typowymi przyczynami, które warto znać, aby móc odpowiednio zareagować.
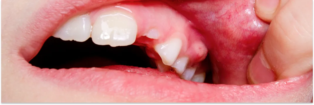
- Urazy mechaniczne: To zdecydowanie najczęstsza grupa przyczyn. Mogą być spowodowane zbyt agresywnym szczotkowaniem zębów, używaniem zbyt twardej szczoteczki, nieprawidłowym nitkowaniem, a nawet podrażnieniem od aparatu ortodontycznego czy protezy. Również jedzenie twardych pokarmów, takich jak chipsy czy twarde cukierki, może prowadzić do skaleczenia dziąsła.
- Afty: Te małe, ale bardzo bolesne owrzodzenia, często pokryte białym nalotem i otoczone czerwoną obwódką, mogą pojawić się nagle. Ich dokładne przyczyny nie są w pełni jasne, ale często wiąże się je ze stresem, niedoborami witamin (szczególnie z grupy B), alergiami pokarmowymi lub ogólnym osłabieniem odporności organizmu.
- Stany zapalne i infekcje: Zapalenie dziąseł, które nieleczone może prowadzić do poważniejszych problemów, jest częstą przyczyną bólu i krwawienia. Infekcje bakteryjne, takie jak ropień dziąsła, infekcje wirusowe (np. opryszczka jamy ustnej) czy grzybicze (pleśniawki), również mogą objawiać się jako bolesne ranki. Ropień to szczególnie niebezpieczny stan, który wymaga natychmiastowej interwencji stomatologicznej.
- Rany po zabiegach stomatologicznych: Po procedurach takich jak ekstrakcja zęba, naturalnie powstaje rana, która potrzebuje czasu na zagojenie. Proces ten zazwyczaj trwa od kilku dni do dwóch tygodni, choć pełna regeneracja tkanki kostnej może potrwać znacznie dłużej.
- Zmiany chorobowe: Choć rzadziej, nieustępująca rana na dziąśle może być sygnałem poważniejszych problemów zdrowotnych. Czasami może wskazywać na choroby ogólnoustrojowe lub być objawem zmian przednowotworowych, takich jak leukoplakia. W takich przypadkach pilna konsultacja lekarska jest absolutnie kluczowa.
Uraz mechaniczny: czy Twoja szczoteczka lub ulubione chipsy są winowajcą?
Często nie zdajemy sobie sprawy, jak łatwo możemy uszkodzić delikatne tkanki dziąseł. Zbyt mocne szorowanie zębów, zwłaszcza twardą szczoteczką, może prowadzić do mikrourazów, które z czasem przeradzają się w bolesne ranki. Podobnie nieprawidłowe używanie nici dentystycznej, zbyt agresywne wsuwanie jej między zęby, może skaleczyć dziąsło. Osoby noszące aparaty ortodontyczne czy ruchome protezy często borykają się z podrażnieniami i otarciami, które wymagają szczególnej troski. Nawet jedzenie twardych pokarmów, jak chrupiące chipsy, orzechy czy sucharki, może spowodować nagłe, ostre skaleczenie dziąsła.
Afty i pleśniawki: kiedy biała plamka to coś więcej niż skaleczenie?
Afty to małe, okrągłe lub owalne owrzodzenia, które pojawiają się na błonie śluzowej jamy ustnej, w tym na dziąsłach. Charakteryzują się silnym bólem, zwłaszcza podczas jedzenia i mówienia, oraz białym lub żółtawym nalotem otoczonym czerwoną, zapalną obwódką. Ich powstawaniu sprzyjają stres, niedobory witamin (szczególnie z grupy B i żelaza), osłabienie odporności, a czasem nawet alergie pokarmowe. Pleśniawki natomiast to objaw infekcji grzybiczej, najczęściej wywołanej przez drożdżaki Candida albicans. Mają postać białych, łatwo usuwalnych nalotów, które mogą pojawiać się na dziąsłach, języku czy policzkach, szczególnie u osób z obniżoną odpornością lub po antybiotykoterapii.
Stan zapalny i ropień: pulsujący ból jako sygnał alarmowy
Kiedy dziąsła stają się zaczerwienione, opuchnięte i krwawią podczas szczotkowania, to znak, że toczy się w nich stan zapalny. Nieleczony może prowadzić do poważniejszych komplikacji, w tym do powstania ropnia. Ropień dziąsła to nagromadzenie ropy w tkankach, które powstaje w wyniku infekcji bakteryjnej. Objawia się zazwyczaj silnym, pulsującym bólem, obrzękiem, a czasem nawet gorączką. Jest to stan wymagający natychmiastowej interwencji stomatologicznej, ponieważ może prowadzić do utraty zęba i rozprzestrzenienia się infekcji. Infekcje wirusowe, takie jak opryszczka, również mogą manifestować się bolesnymi pęcherzykami i ranami na dziąsłach.
Co się dzieje z dziąsłem po wyrwaniu zęba? Proces gojenia pod lupą
Po ekstrakcji zęba w miejscu po nim tworzy się rana, która naturalnie zaczyna się goić. Bezpośrednio po zabiegu może pojawić się niewielkie krwawienie i ból, które zazwyczaj są opanowywane za pomocą przepisanych przez lekarza środków lub dostępnych bez recepty leków przeciwbólowych. W ciągu kilku dni rana powinna zacząć się zasklepiać, tworząc skrzep. W tym okresie ważne jest, aby unikać płukania jamy ustnej zbyt energicznie, jedzenia twardych pokarmów i gorących napojów, aby nie zakłócić procesu gojenia. Całkowite zagojenie tkanki miękkiej zazwyczaj trwa od kilku dni do około dwóch tygodni. Należy jednak pamiętać, że proces regeneracji kości jest znacznie dłuższy.
Rzadkie przyczyny: kiedy rana na dziąśle może być poważniejszym sygnałem?
Chociaż większość ran na dziąsłach ma proste przyczyny, czasami mogą one sygnalizować coś znacznie poważniejszego. Jeśli zauważysz, że rana na dziąśle nie chce się goić przez dłuższy czas, powiększa się, lub towarzyszą jej inne niepokojące zmiany, takie jak białe lub czerwone plamy, które nie znikają, koniecznie skonsultuj się z lekarzem lub stomatologiem. Mogą to być objawy chorób ogólnoustrojowych, które wpływają na proces gojenia, lub nawet zmian przednowotworowych, takich jak leukoplakia. Wczesne wykrycie i interwencja są kluczowe dla zdrowia.
Szybka pomoc w domu: sprawdzone metody na ból dziąsła
Gdy dopadnie nas ból dziąsła, często szukamy natychmiastowej ulgi w domowych sposobach. Na szczęście istnieje kilka sprawdzonych metod, które mogą przynieść szybką poprawę i wspomóc proces gojenia.
- Ziołowa apteczka: jak płukanki z szałwii i rumianku mogą przynieść ulgę? Płukanki przygotowane na bazie ziół takich jak szałwia, rumianek, kora dębu czy tymianek to nasi starzy, sprawdzeni sprzymierzeńcy. Mają one działanie ściągające, które pomaga zmniejszyć obrzęk i krwawienie, a także właściwości antyseptyczne i przeciwzapalne, które wspierają walkę z infekcją i przyspieszają gojenie. Aby przygotować taką płukankę, wystarczy zalać łyżkę suszonych ziół szklanką wrzącej wody, zaparzyć pod przykryciem przez około 15-20 minut, a następnie przecedzić i ostudzić. Płucz jamę ustną kilka razy dziennie, ale pamiętaj, aby nie połykać płukanki.
- Sól: prosty, ale skuteczny sposób na odkażenie i redukcję obrzęku Płukanka z soli kuchennej to kolejny prosty, a zarazem bardzo skuteczny środek. Rozpuść pół łyżeczki soli w szklance ciepłej, przegotowanej wody. Sól działa odkażająco, pomagając oczyścić ranę z bakterii, a także pomaga zmniejszyć obrzęk i łagodzi ból. Płucz jamę ustną roztworem soli kilka razy dziennie, po każdym posiłku, aby utrzymać higienę.
- Co jeść, a czego unikać? Dieta, która wspiera gojenie się ran w ustach To, co jemy, ma ogromny wpływ na proces gojenia. Powinniśmy unikać potraw i napojów, które mogą dodatkowo podrażniać ranę czyli wszystkiego, co jest gorące, bardzo zimne, pikantne, kwaśne lub twarde. Zamiast tego, warto postawić na pokarmy o miękkiej, półpłynnej konsystencji, które nie wymagają intensywnego gryzienia i żucia. Doskonale sprawdzą się jogurty, zupy kremy, puree, gotowane warzywa, jajecznica czy owsianka.
- Zimne okłady: Twoja pierwsza pomoc w łagodzeniu bólu i opuchlizny Jeśli rana jest wynikiem urazu i towarzyszy jej obrzęk, zimne okłady mogą stanowić skuteczną pierwszą pomoc. Przygotuj okład, zawijając kilka kostek lodu w czystą ściereczkę lub ręcznik. Następnie przykładaj go zewnętrznie do policzka w okolicy bolącego miejsca na około 10-15 minut. Powtarzaj co godzinę lub dwie. Niska temperatura pomoże zmniejszyć ból, obkurczyć naczynia krwionośne i zredukować opuchliznę.

Gdy domowe sposoby to za mało: skuteczne preparaty z apteki
Jeśli domowe metody nie przynoszą wystarczającej ulgi lub rana jest bardziej dokuczliwa, warto sięgnąć po preparaty dostępne bez recepty w aptece. Są one specjalnie opracowane, aby łagodzić ból i przyspieszać gojenie zmian w jamie ustnej.
- Żele stomatologiczne: jak działają i który preparat wybrać? Żele stomatologiczne to prawdziwi bohaterowie w walce z bólem dziąseł. Zazwyczaj zawierają substancje o działaniu przeciwbólowym (np. lidokaina), przeciwzapalnym (np. salicylan choliny) oraz odkażającym (np. chlorek cetalkoniowy). Po nałożeniu na ranę tworzą delikatną warstwę ochronną, która izoluje uszkodzone miejsce, przynosząc ulgę i przyspieszając proces regeneracji. Popularne i skuteczne preparaty to na przykład Sachol czy Elgydium Clinic Cicalium. Stosuj je zgodnie z instrukcją na opakowaniu, zazwyczaj kilka razy dziennie.
- Antyseptyczne płyny do płukania ust: jak zapobiegać groźnym infekcjom? Płyny do płukania ust o działaniu antyseptycznym, często zawierające chlorheksydynę, są doskonałym uzupełnieniem higieny jamy ustnej, zwłaszcza gdy mamy do czynienia z ranami na dziąsłach. Pomagają one utrzymać czystość w miejscu zranienia, zapobiegając rozwojowi bakterii i minimalizując ryzyko nadkażenia. Pamiętaj jednak, aby stosować je zgodnie z zaleceniami lekarza lub farmaceuty, ponieważ długotrwałe używanie preparatów z chlorheksydyną może prowadzić do przebarwień na zębach.
Kiedy do dentysty? Objawy, których nie możesz ignorować
Chociaż wiele ran na dziąsłach można skutecznie leczyć w domu, istnieją sytuacje, w których wizyta u stomatologa jest absolutnie konieczna. Niektóre objawy mogą świadczyć o poważniejszych problemach, które wymagają profesjonalnej interwencji.
- Rana nie goi się od ponad tygodnia: dlaczego to czerwona flaga? Jeśli rana na Twoim dziąśle nie wykazuje oznak gojenia się lub wręcz przeciwnie powiększa się w ciągu 7-14 dni, jest to sygnał alarmowy. Normalnie, nawet większe skaleczenia powinny zacząć się goić w tym czasie. Długo utrzymująca się rana może świadczyć o problemach z krążeniem, cukrzycy, osłabionej odporności lub być objawem innych schorzeń.
- Silny ból, gorączka i powiększone węzły chłonne: nie ignoruj tych sygnałów Silny, pulsujący ból, który nie ustępuje po lekach przeciwbólowych dostępnych bez recepty, jest powodem do niepokoju. Jeśli towarzyszy mu gorączka, dreszcze lub wyczuwalne powiększenie węzłów chłonnych pod żuchwą lub na szyi, może to oznaczać rozwijającą się infekcję, która wymaga pilnego leczenia.
- Widzisz ropę lub krwawienie nie ustaje? Czas na interwencję specjalisty Obecność ropy w ranie, która może objawiać się jako białawy lub żółtawy nalot, jest jednoznacznym sygnałem infekcji bakteryjnej. Podobnie, jeśli krwawienie z dziąsła jest obfite i nie możesz go zatamować, nawet stosując ucisk, należy natychmiast skontaktować się ze stomatologiem.
- Niegojące się białe lub czerwone zmiany: potencjalny objaw poważniejszych schorzeń Zwróć szczególną uwagę na wszelkie białe lub czerwone plamy, zgrubienia czy owrzodzenia na dziąśle, które nie znikają samoistnie. Mogą one być wczesnym objawem leukoplakii, która jest stanem przednowotworowym, lub innych zmian wymagających diagnostyki i leczenia.
Lepiej zapobiegać: jak dbać o dziąsła, by unikać problemów?
Najlepszym sposobem na uniknięcie bólu i dyskomfortu związanego z ranami na dziąsłach jest odpowiednia profilaktyka. Dbanie o higienę jamy ustnej i regularne kontrole u stomatologa to klucz do zdrowych dziąseł.
- Technika ma znaczenie: jak prawidłowo myć i nitkować zęby? Prawidłowa technika mycia zębów jest fundamentem zdrowia jamy ustnej. Używaj szczoteczki z miękkim włosiem i pasty do zębów z fluorem. Pamiętaj, aby szczotkować zęby delikatnymi, okrężnymi ruchami, uwzględniając również linię dziąseł. Nie zapominaj o regularnym nitkowaniu, które usuwa resztki pokarmów i płytkę nazębną z przestrzeni międzyzębowych, gdzie szczoteczka nie dociera.
- Znaczenie regularnych wizyt kontrolnych u stomatologa Regularne wizyty kontrolne u stomatologa, zazwyczaj co 6 miesięcy, pozwalają na wczesne wykrycie i leczenie problemów, zanim staną się poważne. Profesjonalna higienizacja jamy ustnej, czyli skaling i piaskowanie, usuwa kamień nazębny, który jest główną przyczyną stanów zapalnych dziąseł.
- Wpływ diety i stylu życia na zdrowie całej jamy ustnej Zdrowa, zbilansowana dieta bogata w witaminy (szczególnie C i z grupy B) oraz minerały (jak wapń i magnez) wspiera zdrowie dziąseł i całego organizmu. Unikanie szkodliwych nawyków, takich jak palenie tytoniu, które znacząco zwiększa ryzyko chorób dziąseł, również ma kluczowe znaczenie dla utrzymania zdrowej jamy ustnej.
